
\2週間で「1歯だけの交叉咬合」が改善した9才女の子の症例✨/
「全体の歯並びはそこまで悪くないけど…」
「1本だけ内側に噛んでいる歯がある」
実はこのようなご相談、とても多いです👧💭
今回は、
👉 左上の歯1歯のみが交叉咬合(単歯性クロスバイト)だった9才女の子
👉 プレオルソ装着2週間で改善が見られた症例
をご紹介します✨
⸻
🦷交叉咬合とは?🤔
交叉咬合(クロスバイト)とは、
👉 上の歯が下の歯より内側に入り込んで噛んでいる状態 のことをいいます。
今回のケースは、
✔ 上下すべてが逆になっているわけではなく
✔ 左右にズレているわけでもなく
✔ 「左上の歯1歯だけ」が内側に噛み込んでいる
👉 単歯性クロスバイト と呼ばれる状態でした🦷💡
「1本だけだから大丈夫そう」と思われがちですが、
放置すると
⚠️ 噛みグセがつく
⚠️ 周囲の歯の位置に影響
⚠️ あごの動かし方が偏る
など、将来的な噛み合わせに影響することもあります🌱
⸻
🦷プレオルソとは?🌈
プレオルソは、
✅ 成長期のお子さん向けマウスピース型矯正装置
✅ 歯を無理に押すのではなく
✅ あご・舌・口周りの筋肉のバランスを整える
ことを目的とした矯正治療です😊✨
✔ 就寝時+日中1時間程度の装着
✔ 取り外し式で衛生的
✔ 痛みが少なく続けやすい
初めての矯正にも向いています🦷🌸
⸻
🦷今回の症例紹介👧✨
年齢:9才/女の子
主訴:左上の歯1歯だけ内側に噛んでいるのが気になる
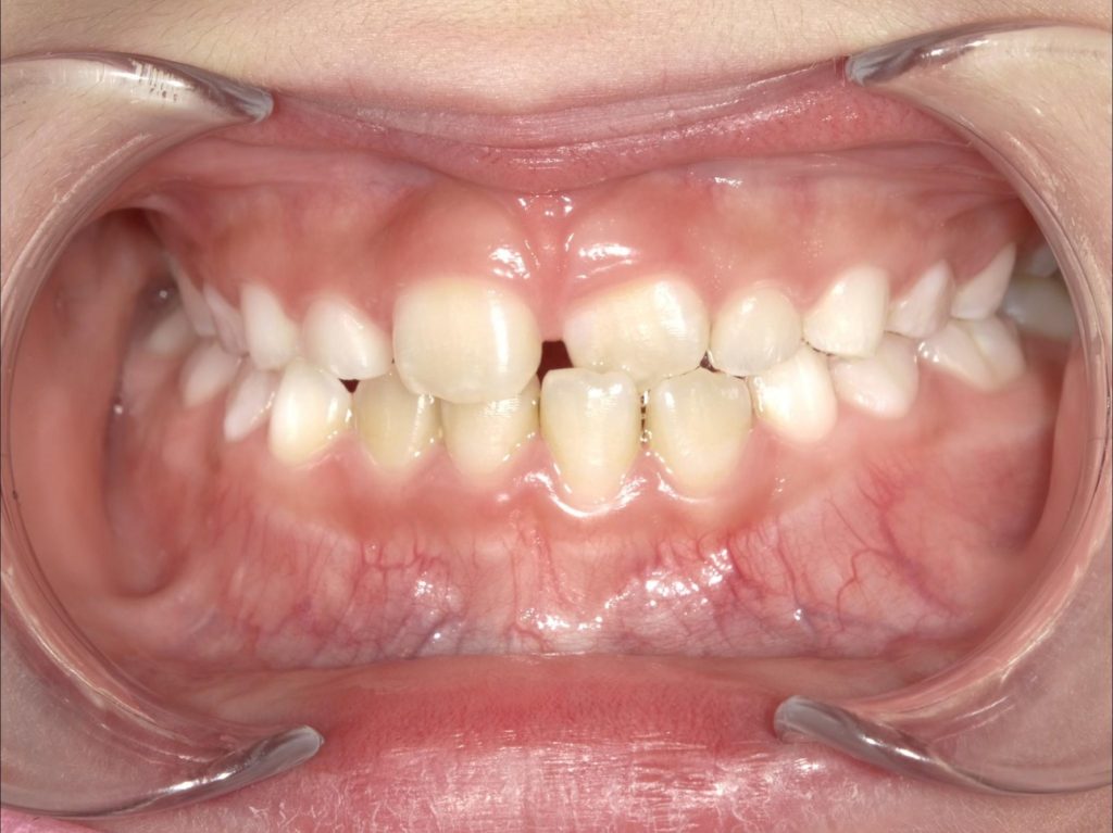
初診時は、
👉 左上の歯が下の歯より内側に入り込み、クロスバイトになっている状態
でした。
👇
📸【Before(治療前)】

⸻
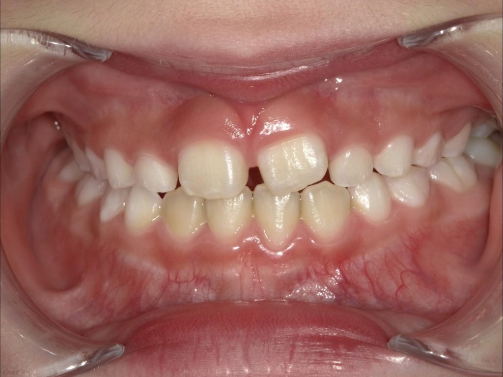
🦷プレオルソ開始から2週間後…✨
プレオルソを毎日正しく装着し、
あわせてお口の使い方のトレーニングを行ったところ…
✨✨
👉 内側に噛み込んでいた左上の歯が外側へ誘導され、クロスバイトが改善✨
✨✨
成長期ならではの、
短期間での変化 が確認できました😊🌱
👇
📸【After(2週間後)】

🦷なぜ「1歯だけ」でも治療が大切?🤔
単歯性クロスバイトでも、
🦷 噛み合わせのクセ
🦷 あごの成長方向
🦷 歯列全体のバランス
に影響を与える可能性があります⚠️
プレオルソは、
✔ 正しい噛み合わせへ誘導
✔ 歯が並ぶ土台作り
を同時に行えるため、
将来の本格矯正を軽くできる可能性 もあります✨
🦷プレオルソはこんなお子さんにおすすめ💡
✔ 歯が1本だけ内側に噛んでいる
✔ クロスバイトを指摘された
✔ 噛み合わせが少し気になる
✔ できるだけ負担の少ない矯正をしたい
「これって治療必要?」という段階でも、
お気軽にご相談ください 🙆♀️✨
🦷まとめ🌸
プレオルソは、
🌈 成長期の力を活かした矯正治療
🌈 単歯性クロスバイトにも対応可能
🌈 痛みや負担が少なく始めやすい
今回のように、
わずか2週間で改善が見られるケース もあります😊✨
お子さんの歯並び・噛み合わせが気になる方は、
ぜひ一度ご相談ください🦷💖
